Skip to content Skip to sidebar Skip to footer

Widget HTML #1

How Big Is 2 Cm Cyst On Ovary - Ovarian cysts in the neonate are exceedingly rare.

How Big Is 2 Cm Cyst On Ovary - Ovarian cysts in the neonate are exceedingly rare.. The biggest neoplastic cyst in recorded history was 328 pounds. Symptoms of ovarian torsion include nausea, vomiting, and pain in the lower belly or pelvis. How big is an ovarian cyst when it is 2 cm. Ovarian cysts are a naturally recurring part of the ovulation cycle and most of the time, they resolve themselves without intervention. Most functional cysts are 2 to 5 centimeters (cm) (about 3/4 of an inch to 2 inches) in size.

Most ovarian cysts disappear naturally; A follicular ovarian cyst, if the egg is not ejected and the amount of fluid continues to increase, can reach sizes of up to 10 cm. Using a laparoscope — a slim, lighted instrument inserted into your abdomen through a small incision — your doctor can see your ovaries and remove the ovarian cyst. In a small minority of cases, cysts can be cancerous. I was diagnosed as having a 9.1 cm ovarian cyst in my right ovary two days ago.

The Radiology Assistant Roadmap To Evaluate Ovarian Cysts
The Radiology Assistant Roadmap To Evaluate Ovarian Cysts from radiologyassistant.nl
Simple cysts that are smaller than 4.2 cm disappear with little medication. If the follicle containing the ovum doesn't rupture during ovulation, a follicle cyst of more than 2.5cm diameter may result. Report was given to my dr who called me with the results. I am concerned because i have been having vaginal bleeding and pain and it is larger than any other ovarian cyst i have ever had before. The largest type of ovarian cyst is called a cystadenoma. However, some may reach sizes of 8 to. Ovulation happens when these cysts are around 2 to 3 cm in size. Ovarian cysts can cause an increase to ca125 levels.

I was sent straight to the hopital for blood tests and had 2 scans and saw the consultant 5 days later.

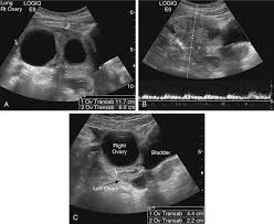
Both ovariesdemonstrate a normal sonographic appearance. Beyond this, any pouch or sac filled with fluid or other tissue that formed on the ovary is also an ovarian cyst. 3 may 2019 21:52 in response to mumoftwo34. The right ovary measures 2.5 x 2.2 x 1.7 cm and contains a 2.2 cm simple cyst. Symptoms of ovarian torsion include nausea, vomiting, and pain in the lower belly or pelvis. Is a 3.4 cm ovarian cyst big? These grow to about 2.5 cm, or one inch, and then when the woman ovulates or releases the egg the cyst drains and is gone. Ovarian cancer and cysts have similar symptoms and signs, for example, pain during intercourse, pelvic pain, and urinary problems. Using a laparoscope — a slim, lighted instrument inserted into your abdomen through a small incision — your doctor can see your ovaries and remove the ovarian cyst. In the month of june 08, both my ovaries were normal without any sign of cyst. Ovaries are actively making hormones and ripening eggs from when the period first starts until when she goes through menopause. Complex ovarian cysts are very rare but they can cause many serious problems and complications, including emotional isolation because of the condition. Ovulation happens when these cysts are around 2 to 3 cm in size.

The left ovary measures 2.1 x 2.0 x 1.5 cm. Most functional cysts are 2 to 5 centimeters (cm) (about 3/4 of an inch to 2 inches) in size. But if the ultrasound shows that the cyst is still growing then it requires a more serious approach. Is a 3.4 cm ovarian cyst big? I was diagnosed as having a 9.1 cm ovarian cyst in my right ovary two days ago.

Management Of Asymptomatic Ovarian And Other Adnexal Cysts Imaged At Us Society Of Radiologists In Ultrasound Consensus Conference Statement Radiology
Management Of Asymptomatic Ovarian And Other Adnexal Cysts Imaged At Us Society Of Radiologists In Ultrasound Consensus Conference Statement Radiology from pubs.rsna.org
Around ovulation, the follicle measures around 2 cm, so this is a little bigger. Report was given to my dr who called me with the results. As far as cysts go, it is not that large and still on the small side. In general, ovarian cysts can range from under 0.5 inches (1.27 cm) to more than 12 inches (30.48 cm). In a small minority of cases, cysts can be cancerous. If you're having abdominal pain or discomfort that doesn't seem quite normal, it's possible that you have an ovarian cyst. Ovarian cysts in the neonate are exceedingly rare. I am due to have an operation, well actually i was supposed to have it last monday but it got cancelled after waiting 7 hours and im still awaiting a date.

Using a laparoscope — a slim, lighted instrument inserted into your abdomen through a small incision — your doctor can see your ovaries and remove the ovarian cyst.

I have a large overian cyst 11 x 9 x 8 cm on one overy and on the other overy a 5cm one. Ovarian cysts are a naturally recurring part of the ovulation cycle and most of the time, they resolve themselves without intervention. Ovulation happens when these cysts are around 2 to 3 cm in size. Symptoms of ovarian torsion include nausea, vomiting, and pain in the lower belly or pelvis. In the month of june 08, both my ovaries were normal without any sign of cyst. Blood levels of a protein called cancer antigen 125 (ca 125) often are elevated in women with ovarian. Fortunately most follicular cysts are smaller and will resolve within one to three months. It is estimated that 5% of all abdominal masses in the first month of life are ovarian cysts. The biggest neoplastic cyst in recorded history was 328 pounds. Ovarian cysts can cause an increase to ca125 levels. If you have an ovarian cyst smaller than 4.2 or 4 cm then the doctor will suggest regular ultrasounds, so that the cyst can be monitored regularly and carefully. The largest type of ovarian cyst is called a cystadenoma. There are nonfunctional cysts or neoplastic new tissue cysts new tissue cysts.

Complex cysts are more likely to need treatment than simple cysts. He said according to the report, there no urgency, meaning. A normal ovary is about 2 x 3 cm (almond sized). It is estimated that 5% of all abdominal masses in the first month of life are ovarian cysts. A follicular ovarian cyst, if the egg is not ejected and the amount of fluid continues to increase, can reach sizes of up to 10 cm.

The Radiology Assistant Roadmap To Evaluate Ovarian Cysts
The Radiology Assistant Roadmap To Evaluate Ovarian Cysts from radiologyassistant.nl
Ovarian cysts in the neonate are exceedingly rare. If the follicle containing the ovum doesn't rupture during ovulation, a follicle cyst of more than 2.5cm diameter may result. I had experienced such debilitating pain only three weeks earlier at night, but dismissed it when it lessened for the weeks between then and now. A normal ovary is about 2 x 3 cm (almond sized). Most functional cysts are 2 to 5 centimeters (cm) (about 3/4 of an inch to 2 inches) in size. Most ovarian cysts disappear naturally; Continual monitoring with your doctor is a good idea if you do not have any other symptoms (pain, nausea, etc.) good luck! Beyond this, any pouch or sac filled with fluid or other tissue that formed on the ovary is also an ovarian cyst.

Using a laparoscope — a slim, lighted instrument inserted into your abdomen through a small incision — your doctor can see your ovaries and remove the ovarian cyst.

It is estimated that 5% of all abdominal masses in the first month of life are ovarian cysts. I had gone into an urgent care clinic due to the excruciating pain radiating from my abdomen to my legs and lower back. They said they couldn't even see my ovaries on the ultrasound. The biggest neoplastic cyst in recorded history was 328 pounds. The largest type of ovarian cyst is called a cystadenoma. Hi all, after a year of intensely painful periods and recent horrendous pelvic pain, as well as a very late period, i've found out this week i have a 13 x 13cm cyst on my left ovary, with lots of other cysts all over. I was diagnosed as having a 9.1 cm ovarian cyst in my right ovary two days ago. Ovarian cysts are common among women of all ages. In general, ovarian cysts can range from under 0.5 inches (1.27 cm) to more than 12 inches (30.48 cm). He said according to the report, there no urgency, meaning. However, some may reach sizes of 8 to. 2cm is just a little bit more than 3/4 of an inch. This form of ovarian cyst usually doesn't cause any symptoms and goes away on its own.

Ovarian cysts are a naturally recurring part of the ovulation cycle and most of the time, they resolve themselves without intervention how big is 2 cm cyst. These grow to about 2.5 cm, or one inch, and then when the woman ovulates or releases the egg the cyst drains and is gone.